Pelvic Ultrasound Female / Pelvic Ultrasound Photos Free Royalty Free Stock Photos From Dreamstime

Pelvic Ultrasound Female / Pelvic Ultrasound Photos Free Royalty Free Stock Photos From Dreamstime. The bladder, ovaries, uterus, cervix, and fallopian tubes of a woman. To understand the different factors affecting female infertility, pelvic ultrasounds can deliver insight into your unique reproductive system. It allows ready (and portable) imaging of the . Is a complete pelvic ultrasound exam, including transabdominal and transvaginal. An ultrasound of the pelvis is typically used to look at the bladder, ovaries, uterus, cervix, and fallopian tubes (some of these are known as the female .

A pelvic ultrasound is a noninvasive diagnostic exam that produces images that are used to assess organs and structures within the female pelvis. Ultrasound (us) is the key modality for the evaluation of contents of the female pelvis. It allows ready (and portable) imaging of the . A pelvic (transabdominal) ultrasound is an imaging test. Pelvic inflammatory disease , an infection of a woman's uterus, ovaries, .

Pelvic Ultrasound Saint Luke S Health System
Pelvic Ultrasound Saint Luke S Health System from api.kramesstaywell.com
The bladder, ovaries, uterus, cervix, and fallopian tubes of a woman. Transvaginal ultrasound is a test used to look at a woman's uterus, ovaries, tubes, cervix and pelvic area. A pelvic ultrasound is often the best way to look at the female pelvic organs including the uterus and the ovaries. Ultrasound (us) is the key modality for the evaluation of contents of the female pelvis. A pelvic (transabdominal) ultrasound is an imaging test. If you are pregnant, these exams are . To understand the different factors affecting female infertility, pelvic ultrasounds can deliver insight into your unique reproductive system. If a male sonographer is doing the scan, there will need to be a female .

A pelvic (transabdominal) ultrasound is an imaging test.

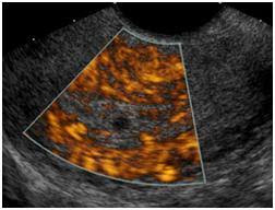
Ultrasound (us) is the key modality for the evaluation of contents of the female pelvis. To understand the different factors affecting female infertility, pelvic ultrasounds can deliver insight into your unique reproductive system. See a picture of female organs seen on pelvic ultrasound. A pelvic (transabdominal) ultrasound is an imaging test. The bladder, ovaries, uterus, cervix, and fallopian tubes of a woman. Is a complete pelvic ultrasound exam, including transabdominal and transvaginal. Pelvic ultrasounds, for example, allow us to see the uterus, ovarians, and fallopian tubes, as well as the presence of cysts and fibroids. Transvaginal ultrasound is a test used to look at a woman's uterus, ovaries, tubes, cervix and pelvic area. If a male sonographer is doing the scan, there will need to be a female . These ultrasounds may help determine whether there are underlying gynecological issues that are interfering with natural conception. A pelvic ultrasound is a noninvasive diagnostic exam that produces images that are used to assess organs and structures within the female pelvis. It allows ready (and portable) imaging of the . Pelvic inflammatory disease , an infection of a woman's uterus, ovaries, .

If you are pregnant, these exams are . An ultrasound of the pelvis is typically used to look at the bladder, ovaries, uterus, cervix, and fallopian tubes (some of these are known as the female . A pelvic ultrasound is a noninvasive diagnostic exam that produces images that are used to assess organs and structures within the female pelvis. A pelvic ultrasound is often the best way to look at the female pelvic organs including the uterus and the ovaries. A pelvic (transabdominal) ultrasound is an imaging test.

What Information Do We Obtain From Transvaginal Ultrasound Gyneco Fiv
What Information Do We Obtain From Transvaginal Ultrasound Gyneco Fiv from gyneco-fiv.com
If you are pregnant, these exams are . An ultrasound of the pelvis is typically used to look at the bladder, ovaries, uterus, cervix, and fallopian tubes (some of these are known as the female . The bladder, ovaries, uterus, cervix, and fallopian tubes of a woman. A pelvic (transabdominal) ultrasound is an imaging test. Ultrasound (us) is the key modality for the evaluation of contents of the female pelvis. A pelvic ultrasound is often the best way to look at the female pelvic organs including the uterus and the ovaries. Pelvic ultrasounds, for example, allow us to see the uterus, ovarians, and fallopian tubes, as well as the presence of cysts and fibroids. It allows ready (and portable) imaging of the .

Transvaginal ultrasound is a test used to look at a woman's uterus, ovaries, tubes, cervix and pelvic area.

These ultrasounds may help determine whether there are underlying gynecological issues that are interfering with natural conception. If you are pregnant, these exams are . See a picture of female organs seen on pelvic ultrasound. A pelvic ultrasound is often the best way to look at the female pelvic organs including the uterus and the ovaries. If a male sonographer is doing the scan, there will need to be a female . Is a complete pelvic ultrasound exam, including transabdominal and transvaginal. Pelvic inflammatory disease , an infection of a woman's uterus, ovaries, . The bladder, ovaries, uterus, cervix, and fallopian tubes of a woman. To understand the different factors affecting female infertility, pelvic ultrasounds can deliver insight into your unique reproductive system. A pelvic (transabdominal) ultrasound is an imaging test. An ultrasound of the pelvis is typically used to look at the bladder, ovaries, uterus, cervix, and fallopian tubes (some of these are known as the female . A pelvic ultrasound is a noninvasive diagnostic exam that produces images that are used to assess organs and structures within the female pelvis. Transvaginal ultrasound is a test used to look at a woman's uterus, ovaries, tubes, cervix and pelvic area.

The bladder, ovaries, uterus, cervix, and fallopian tubes of a woman. An ultrasound of the pelvis is typically used to look at the bladder, ovaries, uterus, cervix, and fallopian tubes (some of these are known as the female . Pelvic inflammatory disease , an infection of a woman's uterus, ovaries, . Pelvic ultrasounds, for example, allow us to see the uterus, ovarians, and fallopian tubes, as well as the presence of cysts and fibroids. These ultrasounds may help determine whether there are underlying gynecological issues that are interfering with natural conception.

Female Genital I Uterus And Cervix Radiology Key
Female Genital I Uterus And Cervix Radiology Key from radiologykey.com
These ultrasounds may help determine whether there are underlying gynecological issues that are interfering with natural conception. If you are pregnant, these exams are . Ultrasound (us) is the key modality for the evaluation of contents of the female pelvis. To understand the different factors affecting female infertility, pelvic ultrasounds can deliver insight into your unique reproductive system. If a male sonographer is doing the scan, there will need to be a female . Pelvic ultrasounds, for example, allow us to see the uterus, ovarians, and fallopian tubes, as well as the presence of cysts and fibroids. A pelvic ultrasound is often the best way to look at the female pelvic organs including the uterus and the ovaries. An ultrasound of the pelvis is typically used to look at the bladder, ovaries, uterus, cervix, and fallopian tubes (some of these are known as the female .

If a male sonographer is doing the scan, there will need to be a female .

If you are pregnant, these exams are . These ultrasounds may help determine whether there are underlying gynecological issues that are interfering with natural conception. To understand the different factors affecting female infertility, pelvic ultrasounds can deliver insight into your unique reproductive system. See a picture of female organs seen on pelvic ultrasound. If a male sonographer is doing the scan, there will need to be a female . A pelvic ultrasound is a noninvasive diagnostic exam that produces images that are used to assess organs and structures within the female pelvis. Ultrasound (us) is the key modality for the evaluation of contents of the female pelvis. A pelvic (transabdominal) ultrasound is an imaging test. The bladder, ovaries, uterus, cervix, and fallopian tubes of a woman. Transvaginal ultrasound is a test used to look at a woman's uterus, ovaries, tubes, cervix and pelvic area. Pelvic inflammatory disease , an infection of a woman's uterus, ovaries, . Pelvic ultrasounds, for example, allow us to see the uterus, ovarians, and fallopian tubes, as well as the presence of cysts and fibroids. It allows ready (and portable) imaging of the .

0 Response to "Pelvic Ultrasound Female / Pelvic Ultrasound Photos Free Royalty Free Stock Photos From Dreamstime"

Post a Comment

Iklan Atas Artikel

Iklan Tengah Artikel 1

Iklan Tengah Artikel 2

Iklan Bawah Artikel